In My Head
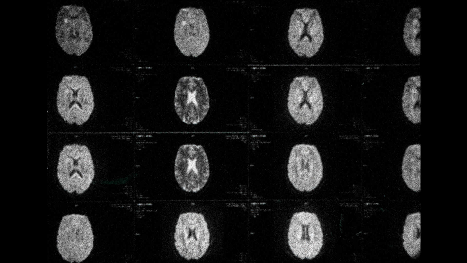
In My Head is an experimental first-person short film about the filmmaker’s multiple sclerosis as told through magnetic resonance images. This film-journal traces the ebb and flow of life that persists through illness.
Awards and mentions
For the Love of Celluloid Award
Images Festival
Toronto
2025
Credits
Director
Irina Tempea
Director of Photography
Irinia Tempea
Sound Design
Sacha Ratcliffe
Mixing
Benoit Parent
Mentor
Guillaume Vallée
Technical information
Color
Color / Black and White
Image format
16:9
Sound
Stereo
Shooting format
16 mm
Super 8
Documentation
Keywords
Abstraction, Cinema, Identity, Illness, Portrait, Psychology, Health, Mental Health
Themes



